来源:河北广播电视台冀时客户端
责编:王悦
时间:2025-11-17 12:25
正值柿子大量上市的季节
很多人的餐桌上
少不了柿子的身影



很多喜欢吃柿子的人
更是开启狂炫模式
但是过量食用柿子
很有可能对身体健康造成影响
据杭州日报消息,一位患者冯女士(化名),在家一口气连吃3只柿子,晚餐又吃了2只大闸蟹。结果当天晚上,冯女士突然开始肚子痛,疼得全身冒冷汗,还不停呕吐。忍了两天后,冯女士终于忍无可忍,来到了医院。
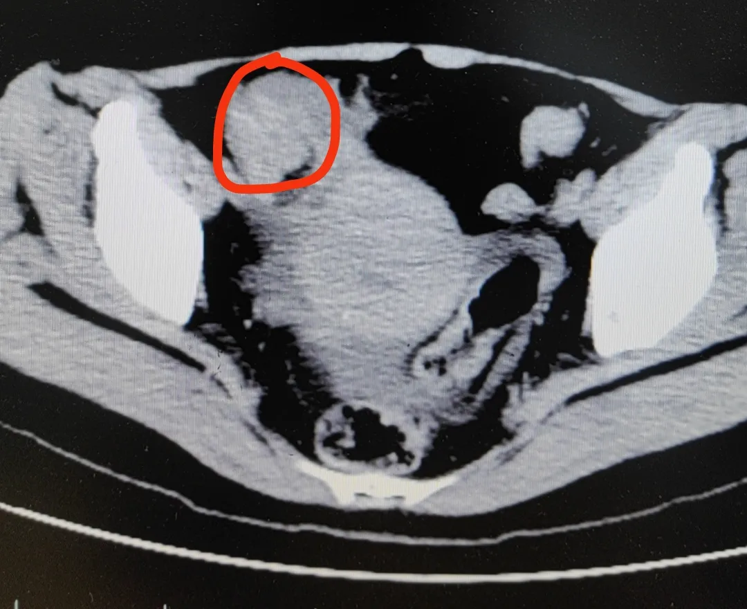
医生高度怀疑,冯女士发生了绞窄性肠梗阻。最后手术从肠子里切出一堆“石头”,也就是俗称的“柿石症”,最大的直径有4公分!

原来,柿子中含有较多的鞣酸和果胶,与虾、蟹、鱼、牛奶等高蛋白食物同食,因蛋白与鞣酸相遇,容易发生反应产生沉淀物——鞣酸蛋白,当胃里的胃酸较多的情况下,鞣酸蛋白和食物中的果胶、纤维素等,把食物残渣粘合在一起,在胃内形成胃柿石,造成胃部不适。
除了不和高蛋白食物一起吃
食用柿子
还要遵循以下原则
↓↓↓
尽量选熟透的柿子
不要和这些食物混吃
不空腹吃
柿子应该怎么吃?医生说,尽量选择熟透的柿子,不要空腹吃,一次别吃得太多,去皮食用,问题不会太大。味道越涩的柿子,鞣酸含量越高,尝起来发涩的柿子建议别吃。
空腹食用柿子极易形成结石性团块,形成柿石症,出现腹痛、腹胀、恶心、食欲下降等症状,严重甚至会导致胃穿孔和出血。
不要和太酸的食物一起吃
柿子不宜同含果胶、鞣酸较多和酸性水果同食,如黑枣、酸枣、山楂、橘子、猕猴桃等,也不宜和醋一起食用,这样吃易出现胀气、结石的问题。
吃柿子山楂这些季节限定的食物时,避免跟鱼、虾、蟹、肉类、牛奶、鸡蛋等高蛋白食物同时吃。两者在胃酸作用下更容易凝固成块形成结石。特别是老人小孩、消化功能不好或有胃肠道疾病及相关手术史的人群,最好不食用。
贫血和糖尿病患者慎食
柿子含鞣酸,易与铁质结合,从而妨碍人体对食物中铁质的吸收,所以贫血患者应少吃。
柿子的含糖量比较高,而且多为单糖和双糖,如葡萄糖、蔗糖、果糖等,容易引起血糖升高。所以,不建议糖尿病患者吃柿子。
医生建议,若是吃了柿子山楂后感觉胃不舒服或是肚子痛,可以喝些苏打水或是吃些碳酸氢钠片。较小的胃结石,连续服用数天至数周后,胃结石会逐渐缩小直至消失,若是症状持续不缓解,建议及时就医。
此外,医生提醒:即便健康人群也不要贪多,每天1-2个足矣。
你喜欢吃柿子吗?
一天大概会吃多少个?
注意以上食用注意事项
不要超量了!
转给家人们,提醒~
来源|江南都市报
编辑|王悦
责编|安倩
编审|邓菲
监制|冯慧杰
终审|边宇峰